Anne Caroline Drake

Navigating Uncharted Waters

Main Menu

Skip to content
  • Welcome!
  • Elizabeth Gilbert: Eat, Pray, Love
  • Famous/Celebrity Survivors
  • Maps/My Blog
  • Survive, Thrive, Joy
    • Survival Skills & Strategies
      • Pit Bull Abusers
    • Abuse Recovery
    • Thriving
    • Joy, Joy, Joy
  • Kate’s Couch: PTSD Therapy
    • PTSD: What Works for Me
  • Litigation Abuse
    • Judicial Hall of Shame
  • Narcissists, Bullies & Jerks
    • PAS & Divorcing a Narcissist
  • Faith-Based Solutions
  • Life Rafts: Survivor Stories
    • Child Abuse/Neglect/Incest Survivors
    • Domestic Violence/IPV Survivors
  • Survivors’ Network: Silent No More!
    • Hall of Fame
    • Leaders
    • Bravo, Bloggers!
    • System Dysfunctions
      • Spotlight on Pierce County, WA
    • Political Action: Kicking Butt & Taking Names
  • Great Books
    • DV Fiction
    • Celebrating Survivors
      • Survivors of Child Abuse/Neglect/Incest
      • Survivors of IPV and Domestic Violence
    • Self-Help
  • Leadership
    • Philanthropy/Grants
    • Research/Statistics
  • ACPs
  • Bitzie, My Muse
  • About
    • Journey 2 Joy: My Story

Tag Archives: brain development

Shout Out: Anderson Cooper Is Shining a Spotlight on Abuse and the Power of Love

October 14, 2011by Anne Caroline Drake 4 Comments

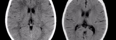
The brain scan on the left is of a child nurtured in a healthy environment. The brain scan on the right is of a severely neglected child who had a variation of total global neglect (similar […]

Read Article →
DV in the News

Post navigation

Looking for a Safe Harbor

Abuse Recovery Artist's Dates Book Review DV Fiction DV in the News DV Research and Statistics Editorial Cartoons Entertainment Faith-Based Solutions to DV Journey to Joy (J2J) Joy Judicial Hall of Shame Kate's Couch: PTSD Therapy Leadership Life Rafts Litigation Abuse Narcissists & Bullies One Billion Rising Protection Circles PTSD: What Works for Me Quick & Dirty Gourmet Religious Abuse Shooting Rampages Survival Skills & Strategies Survive Thrive Joy Tell It Sista! Thriving Uncategorized Violence Against Women Violence Prevention

Bitzie Baby

Archives

Enter your email address to subscribe to this blog and receive notifications of new posts by email.

Join 489 other subscribers

Please Donate

Top Posts

  • Welcome!
  • Bravo, Karen M. Welch: Watch Stalked: Someone's Watching on Investigation Discovery Tonight
  • Book Review: Dreamland
  • About
  • Famous/Celebrity Survivors
  • Book Review: Quicksand

RSS Navigating Uncharted Waters: Maps

  • Kitchen Table Economics: Balancing the Budget Isn’t Rocket Science — You Can Do It with a Few Clicks of Your Mouse
  • Elizabeth Gilbert: Eat, Pray, Love
  • Impact of Domestic Abuse on Health
  • Rihanna: Should You Stay? Should You Leave?
  • Artist’s Date: Flower & Garden Show
  • Sense of Humor: Get Yourself Some Madea Going On!
  • Let’s Create Protection Circles
  • Book Review: The Banned Books Club
  • Happy 65th Birthday, Susan Wiggs!
  • Book Review: This American Ex-Wife

Golden Hind

Visitors

  • 1,081,555 Visitors

Please Donate to the Sponsor of This Site

  • Unknown's avatar
  • Unknown's avatar
  • Dean Baker's avatar
  • Sebastian's avatar
  • Unknown's avatar
  • eatthinkwellness1's avatar
  • Unknown's avatar
  • Food Substitutions's avatar
  • Unknown's avatar
  • eileenking2014's avatar
  • Sebastian's avatar
  • warriorsgazette's avatar
  • Rebecca Cuningham's avatar
  • Unknown's avatar
  • Unknown's avatar
  • Brooke Nelson's avatar
  • Lorene M.'s avatar
  • Unknown's avatar
  • Sammi's avatar
  • Book Review Directory's avatar
  • Ailish Sinclair's avatar
  • Unknown's avatar
  • Eggsandwich04's avatar
  • Unknown's avatar
  • Unknown's avatar
  • Journey2Motive's avatar
  • Unknown's avatar
  • Unknown's avatar
  • Abigail Johnston's avatar
  • meotherwise's avatar
  • pedro's avatar
  • Unknown's avatar
  • Unknown's avatar
  • josechurape's avatar
  • Operation X's avatar
  • Brittanica Bold's avatar
  • Unknown's avatar
  • stacyemerson's avatar
  • Natural Skin Care Love's avatar
  • DirtySciFiBuddha's avatar
  • Chris Nicholas's avatar
  • Hungry Peter's avatar
  • Unknown's avatar
  • Doig Bannat's avatar
  • Unknown's avatar
  • Bogdan's avatar
  • Unknown's avatar
  • Unknown's avatar
  • Unknown's avatar
  • Unknown's avatar

Judicial Watch

Judicial Education: Custody Cases

Guardian Angels

Speaking Truth to Power

Be Your Own Fairy Godmother

Create a free website or blog at WordPress.com.
Privacy & Cookies: This site uses cookies. By continuing to use this website, you agree to their use.
To find out more, including how to control cookies, see here: Cookie Policy
  • Subscribe Subscribed
    • Anne Caroline Drake
    • Join 384 other subscribers
    • Already have a WordPress.com account? Log in now.
    • Anne Caroline Drake
    • Subscribe Subscribed
    • Sign up
    • Log in
    • Report this content
    • View site in Reader
    • Manage subscriptions
    • Collapse this bar
 

Loading Comments...